Brain Teaser #11


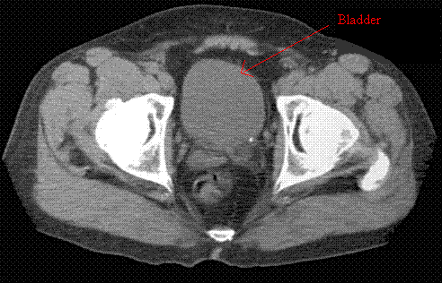
What is the most common symptom for bladder cancer?
The most common symptom of bladder cancer is gross, painless hematuria.
Remember that hematuria means blood in the urine.
hema = blood
uria = urine
The majority of bladder cancers fall under what pathological classification?
The majority of bladder cancers are transitional cell carcinomas.
In relationship to the seminal vesicles, the bladder lies where anatomically?
The bladder lies slightly superior and anterior of the seminal vesicles.
If the bladder contains contrast during the CT sim, will this effect your dose calculation if you are using heterogeneity correction factors (yes or no)?
If the bladder contains contrast during the CT sim and if you are using heterogeneity correction factors, then yes the contrast could effect your calculation.
If the CT image used for the dose calculation has contrast in the bladder, will your effective depth increase, decrease, or remain the same when compared to a CT image without contrast in the bladder
Your effective depth will increase if you are using contrast in the bladder for your dose calculation.
You can think of contrast of having an approximate CT value as bone. Some planning systems allow you to force a CT value of 1.0 for contours or to 0 HU (so, you could force the bladder to have a value of 1.0 or 0 HU depending on your treatment planning system).
If a Rt-Lat SSD reads 81 cm and the Lt-Lat SSD reads 79.5, and the AP reads an SSD of 85, and the PA SSD reads an SSD of 87.5, please solve for x and z respectively (please use the diagram below to help you):

According to the Previous digram X = 39.5 cm and Z= 27.5 cm
(If a Rt-Lat SSD reads 81 cm and the Lt-Lat SSD reads 79.5, and the AP reads an SSD of 85, and the PA SSD reads an SSD of 87.5, please solve for X and Z respectively.)
Since you know your SSD and your target to central axis distance is 100, you can do the following:
Rt-Lat is 100-81 = 19.0 cm
Lt-Lat is 100-79.5 = 20.5 cm
Rt-Lat + Lt-Lat = X
19.0cm + 20.5 = 39.5
X=39.5 cm
______________________________________________________________________
AP is 100-85 = 15.0 cm
PA is 100-87.5 = 12.5 cm
AP + PA = Z
15.0cm + 12.5 = 27.5
Z=27.5 cm
If a patient had a CT study that was composed of 62 CT images, and each slice was 3 mm thick, how many centimeters long was the CT study?
If there was a CT study that was done that had 62 CT images in it, and each slice was 3 mm thick, the CT study would be 18.6 cm long.
Simply take how many imgaes in the study and mulplty by how thick the slices are.
(3mm)(62 images) = x
x = 186 mm
10 mm = 1cm
186 mm
-----------= 18.6 cm
10 mm
This can also be an important equation. For example, if we know how long we want to scan, and we know how thick each slice is going to be, we can easily figure out how many images there should be. This equation looks like this:
Length desired
------------------------- = number of images
Slice thinkness
Let's say you want to scan a lentgh of 20 cm, and you want .5 cm thick slices, then you can expect 40 images.
20 cm
------------------------- = 40 images.
.5 cm
Just remember to keep everything in the same units. Its's easy to confuse a 20 cm length scan with 5 mm slices, and forget to change one of your units. If you try to do that same problem you will get an answer of 4 images. Always make sure you are working with the same units.
The doctor is treating a very large pelvis field. So large, that some spinal cord is in the field. In the superior to inferior dimension the cord measures 6.5 cm, in the anterior to posterior dimension you measure the cord to be 1.8 cm, and in the left to right dimension you measure the cord to be 1.8 cm what is the volume of the cord? (assume a cylinder, and assume superior to inferior dimension is your height).
The volume of the cord would be 16.5 cm 3
h = height
r = radius ---------------------------->also, keep in mind that r = 1/2 diameter
3.14 = pi
h = 6.5 cm
r = in our case we had the diameter so we need to take (1.8 cm)(1/2) = .9
pi = 3.14
THE END
Author: Adam Buell
Editors: Mary Hare and Joan O'Brien
Date Created: October 2005