Brain Teaser #19
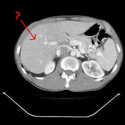
What structure is this?

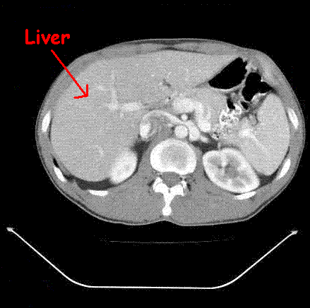
This structure is the liver.

In relationship to the kidney, the liver falls where anatomically?
The liver is anterior and superior of the kidneys.
When moving from superior to inferior, where does the left kidney begin to manifest as compared to the right kidney? More superiorly, inferiorly, or at the same level?
Under normal conditions, the left kidney will present more superiorly than the right kidney. This is because the liver is on the right side and prevents the right kidney from forming at the same level the left kidney forms at.
The left kidney starts around what vertebral body?
The left kidney usually starts around T12.
What are three dose limiting structures to be concerned with when treating a pancreatic cancer with radiation?
Dose limitng structures in this area include the liver, kidneys, spinal cord and the stomach
You have 102 cm3 of total kidney volume. If 68 cm 3 is being evaluated on a DVH, what is the relative volume being looked at?
66.7% of total kidney volume is being evaluated.
This can be done by setting up a proportion:
If this relative volume is receiving 65% of the total dose, and the total dose is 50 Gy, what dose is 66.7% of the kidneys receiving?
66.7% of the kidneys receive 32.5 Gy or 3250 cGy.
Just take total dose and multiply percent of dose. This yields equivalent dose to kidney volume.
(50Gy)(.65)=32.5Gy to 66.7% of the kidneys.
Does this dose go over the recommended TD5/5 for the kidneys? (yes or no)
Yes, it does.
By how much does it exceeded the recommended TD5/5?
It exceeded the value by 2.5 Gy or 250 cGy.
The first step is to figure out how 66.7% of the volume relates to the TD5/5 for the kidneys. 66.7% is 2/3, so the TD5/5 for this volume translates to the recommended dose limit of 30 Gy, which is the 2/3 dose to this structure. The calculation showed that this volume received 32.5 Gy. Finally, take 32.5 -30 Gy to determine the difference (250 cGy).
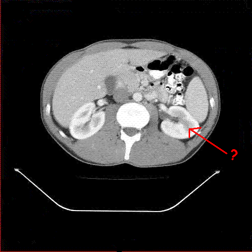
What structure is this?

This structure is the left kidney.

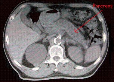
What structure is this?

This structure is the pancreas.

THE END
Author: Adam Buell
Editors: Rory Misiewicz, Joan O'Brien, and Clark Brown
Date Created: July 2007